
Prestazioni e Procedure
ATTIVITÀ AMBULATORIALE
ELETTROCARDIOGRAMMA
E' la registrazione dell’attività elettrica del cuore; e’ un esame di screening di fondamentale importanza.
ECOCARDIOGRAMMA
Ecocardiogramma M mode, 2D, Color Doppler: e’ un esame diagnostico molto accurato per valutare la capacità di contrazione del cuore, le sue dimensioni e la funzionalità degli apparati valvolari.
Visita cardiologica per lo screening delle malattie cardiovascolari e per la gestione della terapia farmacologica.






E' l’esame più’ comune per valutare lo stato di salute delle coronarie e la presenza di ischemia, ovvero di un ridotto apporto di sangue al muscolo cardiaco.
PROVA DA SFORZO
VISITA CARDIOLOGICA
Procedure Interventistiche
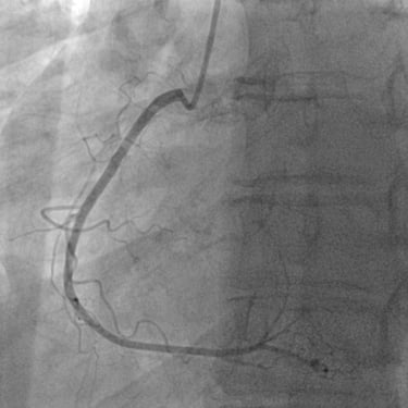
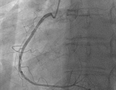
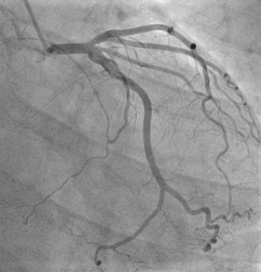
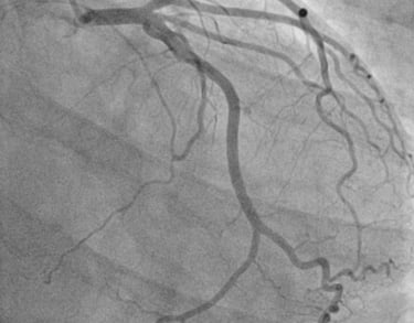
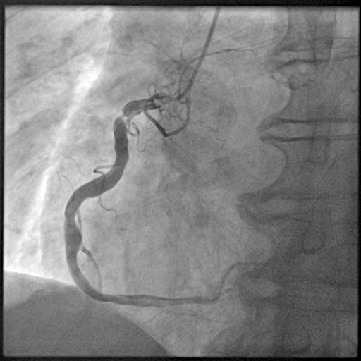
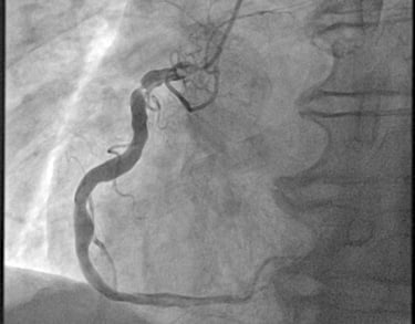
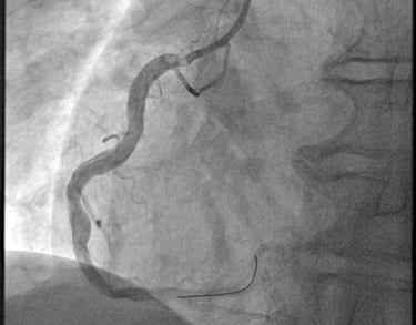
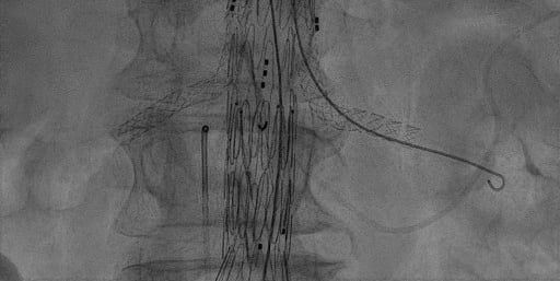
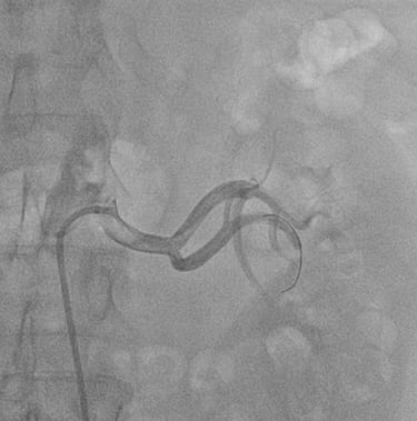
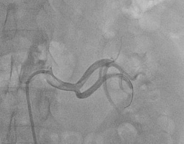
CORONAROGRAFIA
La Coronarografia è l’esame piu’ approfondito per valutare la presenza di restringimenti (“stenosi”) a carico delle arterie coronarie, ovvero delle arterie che nutrono il cuore. Viene effettuata tramite utilizzo di appositi cateteri che vengono inseriti attraverso l'arteria radiale o femorale. Per acquisire le immagini viene utilizzato un liquido chiamato “mezzo di contrasto” che opacizza il lume delle arterie mescolandosi al sangue. Le immagini vengono acquisite da un macchinario che emette una debole radiazione e registra le immagini.




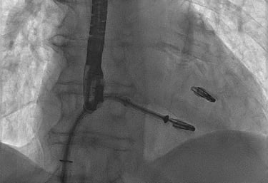
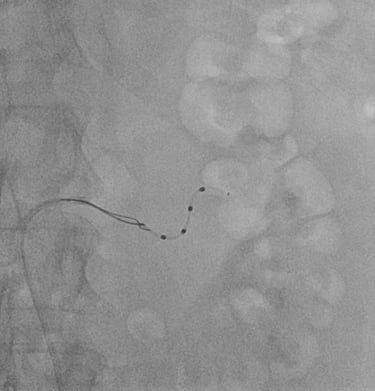
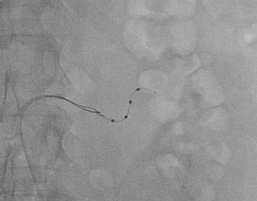
ANGIOPLASTICA
Angioplastica coronarica e lo stent
Si tratta del piu' comune trattamento attualmente utilizzato per curare l'aterosclerosi coronarica. E' una metodica che si avvale di molteplici strumenti appositamente ideati e realizzati e puo' essere effettuata subito dopo la coronarografia, utilizzando la stessa via di accesso arterioso. Solitamente, il paziente sottoposto ad angioplastica coronarica programmata puo' essere dimesso il giorno successivo alla procedura. Lo stent coronarico e' un dispositivo di grandezza millimetrica, in lega metallica biocompatibile (quindi senza fenomeni di rigetto), che viene utilizzato di solito dopo la dilatazione dell'arteria coronarica con il palloncino, per mantenere la pervietà della arteria.


Angioplastica delle arterie degli arti inferiori
Si tratta di una metodica molto efficace per il trattamento della aterosclerosi delle arterie degli arti inferiori. E' molto efficace nel curare i problemi quali il dolore ai muscoli delle gambe durante la deambulazione, la distrofia cutanea, ulcere malleolari e del piede.
Angioplastica/stent delle arterie renali
Si tratta di una metodica per il trattamento della aterosclerosi delle arterie renali, nell'ambito della terapia della ipertensione.


Angioplastica carotidea
Si tratta del trattamento transcatetere della aterosclerosi delle arterie carotidi e riduce il rischio di ictus cerebri. Si avvale di strumenti e dispositivi appositi ed e' una metodica largamente utilizzata con ottimi risultati.




ANALISI DELLA RISERVA DI FLUSSO CORONARICO
Analisi della Riserva di Flusso Coronarico (“Fractional Flow Reserve” o “Pressure Wire”): si tratta di una metodica che, in sala di emodinamica, consente di misurare la pressione sanguigna all'interno delle arterie coronariche ed e’ utile per distingure le stenosi che devono essere trattate con stent da quelle che non ne hanno bisogno.
ATERECTOMIA ROTAZIONALE
Aterectomia rotazionale (Rotablator): si tratta di una metodica che fa parte delle procedure accessorie all’ angioplastica coronarica. E’ di grande utilità in quei pazienti che presentano aterosclerosi coronarica severamente calcifica.
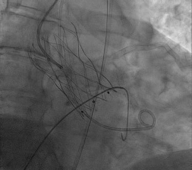
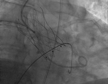
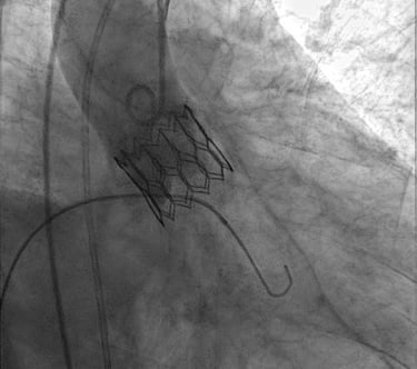
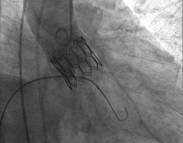
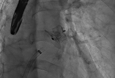
VALVULOPLASTICA AORTICA E TAVI
Valvuloplastica aortica: si tratta di un intervento finalizzato al trattamento a breve termine di una condizione di stenosi valvolare aortica grave. Viene effettuata per via percutanea, attraverso l'arteria femorale.
Impianto transcatetere di valvola aortica (TAVI)
Procedura riservata a pazienti che sono affetti da stenosi valvolare aortica severa ma che e’ preferibile non trattare con la chirurgia tradizionale.




Intravascular Ultrasound o IVUS
Intravascular Ultrasound o IVUS: si tratta di una metodica che utilizza ultrasuoni e consente di visualizzare le arterie coronariche dall'interno. Ha lo scopo di fornire indicazioni anatomiche prima, durante e dopo l’angioplastica.




ENDOPROTESI AORTICA PERCUTANEA
Endoprotesi aortica percutanea: si tratta del trattamento percutaneo, attraverso le arterie femorali, degli aneurismi (dilatazioni) dell'aorta, nel suo decorso nell'addome. E' una metodica utilizzata in pazienti non idonei alla chirurgia.
CHIUSURA DI PFO/DIA
Chiusura di PFO/DIA: si tratta di una procedura percutanea che mediante dispositivi avanzati attraverso le vene femorali ha lo scopo di sigillare la comunicazione anomala tra i due atri. Ha lo scopo di ridurre il rischio di ictus e TIA.




Chiusura auricola sinistra
Consiste nel posizionamento di un dispositivo che occlude l'auricola sinistra in pazienti con fibrillazione atriale che assumono anticoagulanti e che hanno avuto problemi di emorragia, al fine di interrompere la terapia anticoagulante stessa.
RIPARAZIONE MITRALICA
Consiste nel trattamento della insufficienza mitralica mediante tecnologia transcatetere in pazienti ad alto rischio chirurgico.
DENERVAZIONE DELLE ARTERIE RENALI
La denervazione delle arterie renali è una procedura mininvasiva indicata nei pazienti con ipertensione arteriosa difficile da controllare con la sola terapia farmacologica. Attraverso un sottile catetere introdotto per via percutanea, vengono modulati i nervi che circondano le arterie renali. L’obiettivo è ridurre i segnali nervosi che contribuiscono all’aumento della pressione arteriosa.




Domande frequenti
Quali sono gli esami che esegue il Dottor Luca Testa?
EGC, Ecocardiogranna, doppler dei TSA, Test da sforzo.
Come posso prenotare una visita?
E' possibile prenotare tramite il modulo online nella pagina contatti o chiamando direttamente nelle strutture segnalate nella pagina Visite Private.
Quali sono gli orari delle visite?
Il Dott. Luca Testa riceve presso le seguenti strutture:
Policlinico San Donato - Piazza Edmondo Malan 2, San Donato Milanese (MI)
Giorni di visita: martedì, mercoledì e giovedì
Orario: dalle ore 14.00 alle ore 16.30
Clinica Sanatrix
Via di Trasone 61 - Roma (RM)
Giorno di visita: venerdì
Orario: dalle ore 14.00 alle ore 18.00
Siete convenzionati con le assicurazioni?
Sì, con tutte le principali assicurazioni che operano sul territorio italiano.
Alle seguenti pagine potrete verificare le assicurazioni convenzionate.
Policlinico San Donato: https://www.grupposandonato.it/strutture/policlinico-san-donato/convenzioni
Casa di Cura Sanatrix: https://www.sanatrix.it/convenzioni-assicurative/
Come si raggiunge il Policlinico San Donato?
Il Policnico San Donato si trova in Piazza Edmondo Malan 2, San Donato Milanese (MI).
In auto: dal centro di Milano o dalle autostrade prendere la tangenziale Est e uscire a San Donato.
In treno: la stazione ferroviaria Milano Rogoredo è raggiungibile a piedi (circa 25–30 min) o con autobus.
Metropolitana + autobus: metropolitana linea M3 (gialla) fino al capolinea San Donato.
Dalla fermata San Donato proseguire con autobus extraurbani (es. 130, 132, C-Rossa, C-Blu) che fermano vicino al Policlinico.
Cosa portare alla visita?
Il paziente dovrà portare le analisi e la documentazione medica precedente.
Come si raggiunge la Casa di Cura Sanatrix?
La Clinica Sanatrix si trova in Via di Trasone 61 - Roma (RM)
In auto: dal centro di Milano o dalle autostrade prendere la tangenziale Est e uscire a San Donato.
In treno: la stazione ferroviaria Roma Nomentana è raggiungibile a piedi, dalla Stazione Termini prendere l'autobus 38, 92 o 310.
Metropolitana: linea B della metro (fermata S. Agnese/Annibaliano) e poi 10 minuti a piedi.
Autobus: linee ATAC 83, 63, 80, 92, 310 portano vicino alla struttura, con fermate a pochi minuti a piedi.
Contatti
Telefono
info@dottorlucatesta.it
02 52774980
© 2025. All rights reserved.
